| CXR | Do we take left lateral or right lateral? | Why do we follow that rule? | Answer |
| CXR | What is beam divergence? | How do we apply this finding in interpretation? | Answer |
| CXR | Cadaver sections | Identify structures. | Answer |
| CXR | How good is lateral in evaluation of upper lung fields? | What is the limitation due to? | Answer |
| CXR | Shoulder shadow. Localized eventeration of diaphragm | Answer | |
| CXR | Overlap densities | Answer | |
| CXR | Identify left and right. | What are the findings that help in making that decision. | Answer |
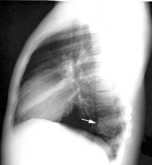
| CXR | Which diaphragm is higher in the lateral view in a normal? | How do you explain it? | Answer |
| CXR | Are both diaphragms visible in lateral view? | What is the significance if one diaphragm is not visible? | Answer |
| CXR | Identification of side of abnormality | If one diaphragm is not seen how do you determine which side is abnormal? | Answer |
| CXR | Right lung atelectasis | Answer | |
| CXR | Left lung atelectasis | Answer | |
| CXR | Lesion is in which diaphragm? | Shoulder shadow. Localized eventeration of diaphragm | Answer |
| CXR | Flat diaphragm Emphysema | Answer | |
| CXR | Answer Answer Answer | ||
| CXR | Identify fissures | Answer | |
| CXR | What is the normal location of fissures. | Answer | |
| CXR | Movement of fissures | Answer | |
| CXR | What is Bowing sign | Answer | |
| CXR | Re shoot lateral before surgery | Answer | |
| CXR | S curve of Golden | Answer Answer | |
| CXR | Fluid in fissure | Answer | |
| CXR | CXR CXR CXR | ? Fluid in fissure ? Segmental consolidation | |
| CXR | Clarity of upper and lower vertebra | Answer | |
| CXR | Uniformity of vertebral clarity of lower vertebra | Answer | |
| CXR | Pre spinal stripe | Answer | |
| CXR | Abnormalities Tb Spine | Answer | |
| CXR | Straight back | Answer | |
| CXR | Kyphosis | Answer | |
| CXR | Kyphoscoliosis | Answer | |
| CXR | Kypho scoliosis | Shoot lateral | Answer |
| CXR | Density over spine? | Dissecting aneurysm of Aorta | Answer |
| CXR | Identification | Answer | |
| CXR | Sternal angle | Answer | |
| CXR | Retrosternal stripe | Answer | |
| CXR | Para sternal stripe | Answer | |
| CXR | Abnormalities Internal mammary nodes | Answer | |
| CXR | Pectus excavatum | Answer Answer | |
| CXR | Pectus excavatum | Answer | |
| CXR | Pectus excavatum | Answer | |
| CXR | Identification | Answer | |
| CXR | Herniation of lung | Answer | |
| CXR | Anterior mediastinal mass | ||
| CXR | Colon Transposition | Answer Answer | |
| CXR | Colon Transposition | Lye ingestion | Answer |
| CXR | Right Ventricular Hypertrophy | ||
| CXR | Identification | Answer | |
| CXR | Abnormalities | Answer | |
| CXR | Identification of chambers | Answer | |
| CXR | Enlargement of chambers | Answer | |
| CXR | Right ventricular hypertrophy | Answer | |
| CXR | Left ventricular hypertrophy | Answer | |
| CXR | Left atrial hypertrophy | Answer | |
| CXR | Valves | Answer | |
| CXR | Patent ductus | Answer | |
| CXR | Pericardial stripe | Answer | |
| CXR | Epicardiac fat pad | Answer Answer | |
| CXR | Pericardial effusion | Answer | |
| CXR | Identification | Answer | |
| CXR | Aneurysm of ascending aorta | Answer | |
| CXR | Aneurysm of arch of aorta | Answer | |
| CXR | Aneurysm of descending aorta | Answer | |
| CXR | Identification | Answer | |
| CXR | Right pulmonary artery | Pneumomediastinum LLL atelectasis | Answer |
| CXR | Pneumomediastinum. Outlining right pulmonary artery. | Answer Answer | |
| CXR | Pulmonary angiogram | CXR | |
| CXR | Left pulmonary artery | Answer | |
| CXR | Branch of right pulmonary artery | Answer | |
| CXR | Identification of trachea | Answer | |
| CXR | LUL | Answer | |
| CXR | RUL | Oat Cell cancer. Lymph nodes encircling RUL orifice. | Answer |
| CXR | RUL | Sarcoidosis | Answer |
| CXR | RUL | Sarcoidosis | Answer |
| CXR | Tracheo esophageal stripe | Answer | |
| CXR | Right intermediate bronchus | Answer Answer | |
| CXR | Left lower lobe bronchus | Answer | |
| CXR | Coin in left main | Answer | |
| CXR | Location of Tooth? | Answer | |
| CXR | Location of Coin? | Answer | |
| CXR | LUL Lipoma | Answer Answer | |
| CXR | Bronchogram | Appreciate the location of segments of right lung. | Answer |
| CXR | Identification | Answer | |
|
Lobar Projection |
|||
| CXR | RUL | Answer | |
| CXR | RML | Answer | |
| CXR | RLL | Answer | |
| CXR | Superior segment RLL consolidation | Answer | |
| CXR | ? lateral segment of RML ? Fluid in fisssure | Answer | |
| CXR | LUL | Answer Answer | |
| CXR | Lingula | Answer | |
| CXR | LLL | Answer | |
| CXR | RUL | Answer Answer | |
| CXR | RML | Answer | |
| CXR | RLL | Answer | |
| CXR | LUL | Answer | |
| CXR | Lingula | Answer | |
| CXR | LLL | Answer Answer | |
| CXR | Identification | Answer | |
| CXR | Tracheo esophageal stripe | Answer | |
| CXR | Air fluid level | Answer Answer Answer | |
| CXR | Air fluid level | Cancer Esophagus | Answer Answer |
| CXR | Dilated esophagus | Answer | |
|
Azygous vein |
|||
| CXR | Identification | Answer | |
| CXR | Differentiation from node | Answer | |
| CXR | Compartments | Answer | |
| CXR | Lymphosarcoma | Answer | |
| CXR | Anterior mediastinal mass | Pulmonary osteoarthropathy | Answer |
| CXR | Anaplastic ca Anterior mediastinal mass | Answer | |
| CXR | Teratoma | Answer | |
| CXR | Middle mediastinal mass | Answer | |
| CXR | Air fluid level in esophagus. Loculated effusion. | Answer | |
| CXR | Hiatal hernia | Answer | |
| CXR | Posterior mediastinal mass (Pre vertebral) | Answer | |
| CXR | Posterior mediastinal mass (Para vertebral mass) | Answer | |
| CXR | Pneumomediastinum | Re shoot | Answer Answer |
| CXR | Grouping | Answer | |
| CXR | Anterior mediastinal nodes | Lymphosarcoma | Answer |
| CXR | Sub carinal nodes | Answer | |
| CXR | Para tracheal | Answer | |
| CXR | Sarcoidosis | Answer | |
| CXR | CXR | Sarcoidosis Spontaneous resolution | Answer |
| CXR | Left hilar | Answer | |
| CXR | Right hilar | Answer | |
| CXR | AP window | Answer | |
| CXR | CXR CXR | AP window nodes | Answer |
| CXR | Internal mammary nodes | Cancer breast | Answer Answer Answer |
| CXR | SVC | Answer | |
| CXR | IVC | Answer | |
| CXR | Brachio cephalic artery | Eventeration diaphrag. SVC brachiocephalic vein outline | Answer |
| CXR | Left innominate artery | Answer | |
| CXR | Left subclavian artery | Answer | |
| CXR | Left brachio cephalic vein | Answer | |
| CXR | Right brachio cephalic vein | Answer | |
| CXR | Is the Pacemaker inserted from right or left side? | Answer | |
| CXR | Mass in one view | Answer | |
| CXR | Mass in one view | Answer | |
| CXR | Extra pleural sign | Answer | |
| CXR | Internal mammary nodes | Answer | |
| CXR | Breast shadows | Answer | |
| CXR | Breast implantation | Answer | |
| CXR | Air fluid level in chest wall and hiatal hernia | Answer | |
| CXR | Costo phrenic angle | Answer | |
| CXR | Pleural effusion | Rheumatoid pleural effusion | Answer |
| CXR | Massive pleural effusion | Good for posterior margin of heart | Answer |
| CXR | Pneumothorax | Answer | |
| CXR | Hydro pneumothorax | Answer | |
| CXR | Fluid in fissure | Answer | |
| CXR | Loculated empyema | Answer Answer | |
| CXR | Loculated empyema | Answer | |
| CXR | What is the purpose of drawing these lines over CXR? | Radiologic lung volume | Answer |
| CXR | Localization of lesions | Lung Abscess | Answer |
| CXR | Localization of lesions | Round atelectasis | Answer |
| CXR | Medullary distribution | Answer | |
| CXR | Differentiation from breast induced lower lung field density | Answer | |
| CXR | Cardiac incisura | Answer | |
| CXR | Which lung outlines the following structures? | Answer | |
| CXR | Inferior vena cava | Answer | |
| CXR | Posterior heart margin | Answer | |
| CXR | Ascending Aorta | Answer | |
| CXR | Aortic arch | ||
| CXR | Anterior margin of Superior vena cava | Answer | |
| CXR | Tracheo esophageal stripe | Answer | |
| CXR | Posterior wall of bronchus intermedius | ||
| CXR | Pulmonary out flow tract | Answer | |
| CXR | Anterior heart margin | Answer | |
| CXR | Left pulmonary artery | Answer | |
| CXR | Left diaphragm | ||
| CXR | Right diaphragm | ||
| Left lung | |||
| Right lung | |||