Loyola University Medical Education Network Imaging


Sarcoidosis can involve all of the organ systems of the body, but thoracic lymph nodes and the lung parenchyma are most often and most visibly involved. In the U.S. the chest radiograph is abnormal in more than 90% of patients of patients with sarcoidosis. The reported percentage is less in some other countries. Findings on the chest radiograph are a most important feature of sarcoidosis and these findings are often the initial signpost leading to the diagnosis, frequently in an asymptomatic patient.

When a patient presents with a grossly abnormal chest radiograph, has no symptoms, has a normal physical examination and no abnormal laboratory tests, sarcoidosis becomes a likely diagnosis. It should be emphasized, however, that no combination of radiograph and clinical findings are pathognomic. Sarcoidosis is a diagnosis of exclusion based on combined radiologic, clinical, and histologic data.


STAGING

The radiographic abnormalities in the thorax are lymphadenopathy, parenchymal lung disease, or both. Several combinations of lymph node enlargement and lung disease have been divided into four categories or stages. These categories are of some limited clinical use since Stages I and II tend to correspond to reversible acute or subacute disease, while Stages III and IV often indicate progressive or permanent lung disease. The term stages, however, is misleading since patients do not necessarily progress from one stage to the others, and there is poor correlation between the appearance of the lung disease and functional impairment.

Stages I, II, and III are based on the chest radiograph at the time of diagnosis. Lung parenchymal disease clears completely in most patients. The development of irreversible lung disease is called Stage IV sarcoidosis.

Radiologic Classification Of Thoracic Sarcoidosis

STAGE 0 No Abnormality ( 5% )

STAGE I STAGE II

Thoracic lymphadenopathy. Normal lung parenchyma. ( 50% )

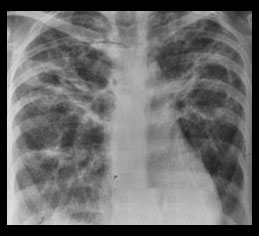
Hilar and mediastinal lymphadenopathy. Abnormal lung parenchyma. ( 30% )

STAGE III STAGE IV

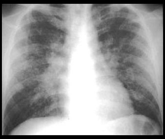
Abnormal lung parenchyma. No lymphadenopathy. ( 15% )

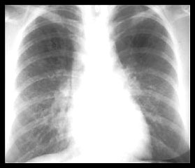
Permanent lung fibrosis. ( 20% )


The rest of this imaging section will illustrate the radiologic patterns of sarcoidosis in the thorax and in the other organ systems.

THORAX

Lymphadenopathy

Parenchymal lung disease

EXTRA-THORACIC

Reticulendothelial system

Musculoskeletal system

Gastrointestinal tract

Kidney


next