Megaureter Case History

A 12-year-old girl has had several urinary tract infections before coming to your office. Knowing that children with urine infections need an imaging evaluation, you order an ultrasound.

 

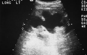
The ultrasound shows left hydronephrosis (grade III on a scale of I - IV). Learn more about ultrasound.

You order the voiding cystourethrogram (VCUG) seen at the right. Notice that there is no contrast in the right ureter or kidney. Contrast enters the left kidney by traveling up the ureter from the bladder (reflux). Although reflux is present, the distal ureter is obstructed causing hydronephrosis and enlargement of the ureter. Most megaureters don't have reflux.

The obstruction is caused by deficiency of muscle at the distal ureter. The lumen of the ureter is normal, but a peristaltic wave, generated in the renal pelvis, is blocked near the bladder preventing effective conduction of urine into the bladder.

 

Unlike some other obstructions to the flow of urine, megaureters typically have no physical narrowing of the lumen. Rather, they have a defect in the conduction of a muscle contraction at the distal end of the ureter. This results in urine flowing through this point at a slowed rate. This causes hydronephrosis in the kidney and ureterectasis (widening of the ureter) in the upper ureter.

Megaureters sometimes spontaneously resolve in very young babies. If the obstruction persists, a surgery may be necessary to remove the aperistaltic portion of the ureter.

 


Return to Normal Development of the Ureter.

Return to Abnormal Development of the Ureter.

Return to G/U Development home page.

©David A. Hatch, M.D., 1996