Heart
- The heart is a hollow muscular organ
approximately the size of a fist, placed between the lungs, in the middle of
the chest
- The apex lies on the
diaphragm, pointing toward the left.
- It is about five inches long and three and a
half inches across at its broadest part
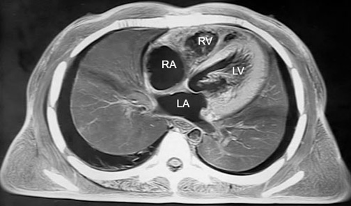
- The heart has four cavities:
- Right atrium
- Superior and Inferior vena cava empty into right
atrium
- Forms right margin of heart
- Left atrium
- Pulmonary veins drain into left atrium
- Forms posterior margin of heart
- Right ventricle
- Pulmonary artery arises from right
ventricle
- Forms anterior margin of heart
- Left ventricle
- Aorta arises from left ventricle
- Forms apex of heart
- Surfaces
- Anterior
- Diaphragmatic
- Posterior
- Borders
- Sulci
- Atrioventricular (coronary) sulcus
- Interventricular sulci
- Appearance in