|
Abdominal Aortic Aneurysm |
|
|
|
Pathology
|
What are the imaging findings of AAA?
|
|
What imaging studies are available for abdominal aortic aneurysm?
|
|
Image Atlas for Abdominal Aortic Aneurysm |
|
|
Abdominal Aortic AneurysmUltrasound |
|
Aneurysm of Abdominal AortaPlain filmCalcification of wall of aortic aneurysm. |
|
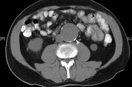
CT: Abdominal Aortic AneurysmCalcification of wall of the aortic aneurysm. |
|
CT: Aneurysm of descending Aorta - Eroding VertebraAbdominal CT and close-up of spine show abdominal aneurysm (A) with chronic erosion (arrows) of adjacent vertebra. |
|
Ruptured Abdominal Aortic AneurysmCT without IV contrast shows abdominal aortic aneurysm (A) with high density blood (arrows) indicating rupture. |
Abdominal Aortic AneurysmAngiogramClick the image to view angiogram. It takes approximately one minute initially to download the file. |
|
Is there a role for interventional radiology in the management of AAA?A permanent stent can be placed in the AAA, thus avoiding surgical risks.This procedure offers an alternative to patients who are of great surgical risk. Stent in place Click on the image to see the angiogram. |
|