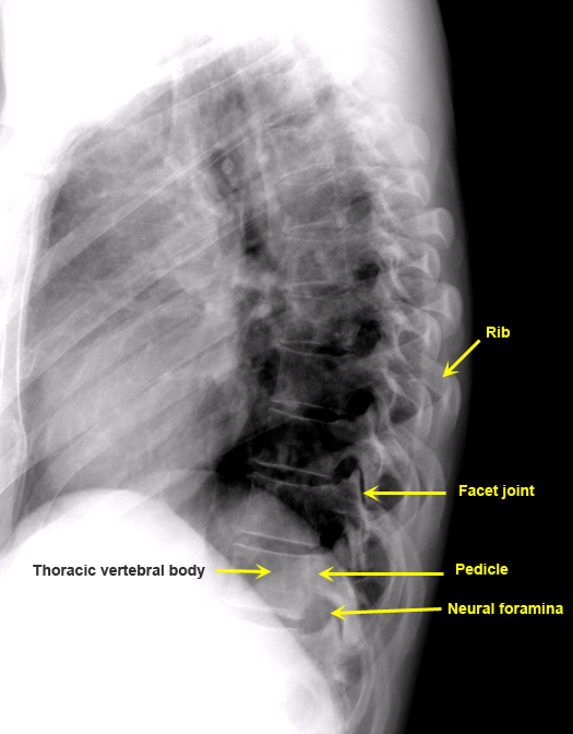
Plain Films of Skull and Spine