Plain X-ray Spine

Read spine images systematically:

Evaluate for:

Common Vertebral Body Pathology:

  • Fractures (traumatic, pathological)
  • Osteoporosis
  • Metastasis (common), marrow infiltrative neoplasms (leukemia, multiple myeloma, lymphoma) primary bone tumors (less common)
  • Osteomyelitis

Let us review few examples of vertebral pathology.

 

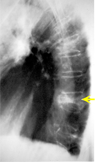
Figure 1: X-ray of the thoracic spine (lateral view)

Compression fracture / Osteoporosis

Case 1:

82 year old thin female with back pain for several months. Her back pain began after a minor fall that she had several months ago.

Imaging findings: Figure 1

Compression fracture of the thoracic spine (arrow) due to osteoporosis.

Osteoporotic fracture is commonly wedge shaped and on x-ray the vertebral body is of decreased density. The compression fracture can be traumatic or due to osteoporosis. In compression fracture the vertebral body is biconcave in shape due to central end-plate collapse.

 

Figure 2: X-ray of lumbar spine (lateral view)

Blastic Spinal Metastasis

Case 2:

65 year old male with carcinoma of the prostate presents with back pain.

Imaging findings: Figure 2

Arrows point to osteoblastic metastasis of multiple vertebral bodies from prostate carcinoma .

What are the common primary malignant tumors that metastasize to bones?
  • Breast in women
  • Lung
  • Renal
  • Thyroid
  • Prostate in men
  • Lymphoma
Osteoblastic lesions
  • Result from tumor producing cytokines that activate osteoblasts.
  • Most commonly arises from prostate cancer, but also from breast and lung.

 

 

Figure 3: X-ray of lumbar spine (lateral view)

Lytic Spinal Lesions (Metastasis, Myeloma)

 

Case 3:

67 year old patient with multiple myeloma presents with back pain.

Imaging findings: Figure 3

Lytic lesions (arrows) from multiple myeloma.

Osteolytic lesions
  • Result from the tumor production of substances (i.e., PTHrP, Vit D-like steroids) that elicit bone resorption.
  • Lytic lesions can be seen with metastasis and multiple myeloma.
  • Primary site of malignant tumors include thyroid, renal, breast and lung.