Infections of the Brain

Objective: You will learn

 

Abscess: Cavitary mass involving the brain parenchyma with infectious etiology.

Encephalitis:  Encephalitis is a diffuse non focal parenchymal inflammatory disease, usually with viral etiology, e.g., herpes encephalitis.

Cerebritis: Early stage of brain infection. Untreated cerebritis can lead to abscess.

Meningitis: Inflammatory infiltration of the pia matter, arachnoid and cerebrospinal fluid.

Ventriculitis (Ependymitis): Infection involving the ependymal lining of the ventricle.

Empyema: Subdural empyema is a collection of pus within the subdural space.
Epidural empyema is a collection of pus within the epidural space.

AIDS - HIV related infections (immunocompromised patients)

  • HIV encephalitis
  • Toxoplasmosis
  • Cryptococcosis
  • Tuberculosis
  • Cytomegalovirus (CMV) ependymitis

Brain Abscess

Infection involving the brain parenchyma.

Ring enhancing mass with a central cavity that involves the brain parenchyma with surrounding edema and mass effect. The collagen capsule surrounding the abscess cavity enhances with contrast (ring enhancement). The central cavity of the mass contains liquified necrotic material, inflammatory debris and pus in pyogenic abscess.

Etiology:

  • Bacterial pyogenic: Staphylococcus, steptococcus, pneumococcus
  • Granulomatous: Mycobacterium tuberculosis
  • Fungal: Cryptococcosis, aspergillosis, mucormycosis
  • Parasitic: Toxoplasmosis, cysticercosis

CT/MR imaging findings of typical brain abscess:

  • Enhancing ring lesion
  • Smooth ring
  • Rim thick towards cortex
  • Rim thin towards ventricles
  • On diffusion wtd image (DWI) the central cavity appears bright and lights up like a bulb
  • Can incite surrounding edema resulting in mass effect and even brain herniation
  • Daughter abscesses

 

 

Differential diagnosis for brain abscess:

  • High grade gliomas: Glioblastoma (GBM) centrally necrotic tumor with irregular peripheral enhancement.
  • Clinical presentation is usually with history of seizures and gradual focal neurological deficits.
  • On diffusion wtd image (DWI) the central necrotic portion of GBM is not as bright as abscess activity.

 

Metastasis:

  • Ring enhancing tumor with central cyst, can mimic brain abscess.
  • Clinical history of primary tumor site such as lung, breast, thyroid, renal cell carcinoma and melanoma offers an important clue to the diagnosis of metastasis.
  • On DWI the central cystic component of metastasis is not as bright as abscess cavity containing pus.

Figure 1A

 

 

Pyogenic abscess

Case 1

Imaging findings:

Fig 1A: Post-contrast axial T1 wtd. MRI

  • Post-contrast axial T1 wtd. image which demonstrates a ring enhancing lesion (large arrow) in the left lateral basal ganglia region surrounded by edema (E).
  • Small arrow points to a daughter abscess.

Figure 1B

 

 

Pyogenic abscess

Case 1

Imaging findings:

Fig 1B: Axial Flair MRI

  • The edema (E) surrounding the abscess cavity is well seen in flair image.
  • Large arrow points to the abscess cavity less clearly seen when compared to contrast MRI (Fig 1A).

Figure 1 C

 

 

Pyogenic abscess

Case 1

Imaging findings:

Fig 1C: Diffusion wtd Images

  • Diffusion wtd image shows central area within the abscess cavity filled with pus seen as an area of bright signal intensity lighting up like a bulb.

Bright signal intensity within the abscess cavity containing pus, seen on diffusion weighted image (DWI) is due to restriction of movement of H20 molecules from extracellular space to intracellular space.

This is a unique feature of pyogenic abscess that helps to differentiate brain abscess from glioblastoma and metastasis.

Most important feature to remember.

Figure 2

 

 

Pyogenic abscess

Case 2

Imaging findings:

Fig 2A: Post-contrast axial and coronal T1 wtd. MRI

  • An enhancing ring lesion within the left posterior frontal lobe.
  • Good demonstration of thinning of the capsule towards the ventricle (arrow in A, B).
  • Edema (E) surrounds the abscess which is hypointense on T1 wtd. image.

 

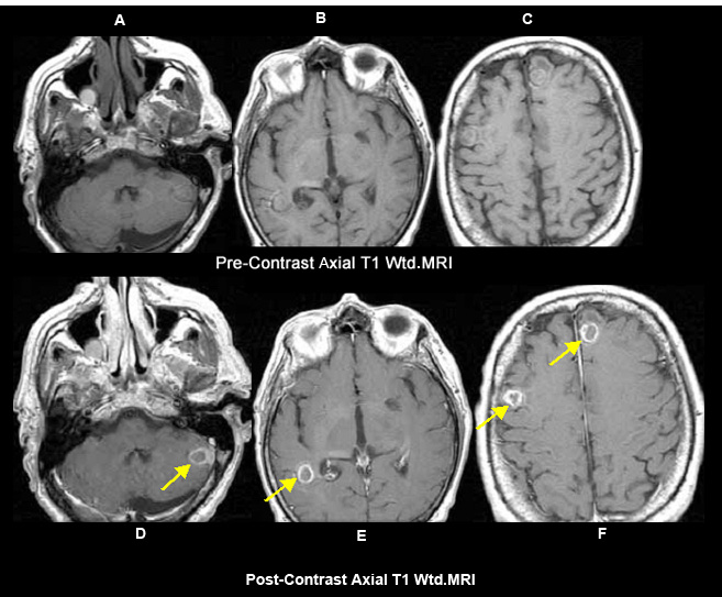
Figure 3

 

Fungal abscess - Non-Pyogenic abscess

Case 3

Imaging findings:

Figure 3 A, B, C: Pre-contrast axial T1 wtd. MRI

 

Figs 3 D, E, F: Post-contrast T1 wtd. MRI:

  • Yellow arrow points to abscess cavity within the left cerebellar hemisphere (arrow in D), right posterior temporal lobe (arrow in E) and frontal lobes (arrows in F).

A case of fungal abscess in an immunocompromised patient.

Multiple enhancing ring lesions in an immunocompromised patient

Appropriate history and clinical findings are needed to aid in the etiology of abscess. 

Figure 4

Tuberculous abscess (Non-Pyogenic)

Case 4:

Imaging findings:

Figure 4: Post-contrast coronal T1 wtd. MRI

  • Multiple abscess cavities as seen (white arrows).
  • Daughter abscess (yellow arrow).

Etiology for non-pyogenic brain abscess is not specific. Etiology for abscess need to be based on the clinical manifestations.

Figure 5

 

Meningitis

Case 5:

A case of pyogenic meningitis.

Imaging findings:

Figure 5: Post-contrast axial T1 wtd. MRI

  • Intense enhancement of the basal cisterns (arrows).

Imaging studies, non-contrast CT and MRI can be normal in meningitis. Enhancement of meninges is seen with contrast enhanced CT and MRI. However, enhancement of meninges is nonspecific and can be seen with many other etiologies.

Imaging in patients with meningitis provides information about increased intracranial pressure and complications of meningitis such as hydrocephalus, subdural empyema, cerebral abscess, venous thrombosis, infarction and ventriculitis, etc.

 

 

Take Home Messages to Remember:

  • Pre and post contrast CT or MRI study is key to the diagnosis of brain abscess.
  • Contrast MRI is more sensitive than contrast CT in the diagnosis of brain abscess.
  • Diffusion wtd MR pulse sequence offers the most sensitive MR image in clinching the diagnosis of pyogenic abscess and helps in differentiating other more common enhancing ring lesions such as glioblastoma or metastasis.