Renal masses

Common Renal Masses Imaging
Simple renal cysts:

Most common in patients over 50 years of age.

These cysts are typically asymptomatic.

CT: Well defined mass with water [low] density usually in the renal cortex.

U.S  Well marginated mass with no internal echoes and posterior enhancement indicating fluid.

Polycystic kidney disease: A positive test requires:
  • in patients younger than 30 years of age, at least two cysts (unilateral or bilateral)
  • in patients 30-59 at least two cysts in each kidney
  • in patients over 60, four or more cysts
Kidneys are large in polycystic kidneys.
Abscess Collection air and fluid pockets
Renal cell carcinoma
  • Solid Mass
  • Most enhance, but less than kidney
  • Cystic, wall irregular with tumor nodules
  • Calcified mass
  • Invasion of renal vein and IVC
  • Neovascularization
  • Can have enlarged nodes

 

The surgical specimen consists of a whole kidney and attached ureter (B). There is a large, irregular carcinoma (A) in the superior pole of the kidney. Normal kidney

Normal kidney in US:

Measures 9-11 cms

Has the same extent of echoes as liver

Cortex measures about 2.5 cms

Central echoes are from fat surrounding renal pelvis.

Renal pelvis is filled with urine and is echo free. Note the posterior enhancement behind renal pelvis.

 

Normal kidney in CT:

Located in  retro peritoneum surrounded by fat.

Renal cortex enhances with IV contrast.

In the nephrographic phase the contrast has not been excreted and the renal pelvis appears dark.

Renal pelvis and ureters can be seen as the contrast is excreted by kidneys.

Note the relationship of kidneys

Renal veins drain into IVC.

 

 

 

Following are examples of renal mass in imaging procedures:

 

CT scan in a patient with Renal Cell Carcinoma

  • Arrow points to solid hypo dense mass in left kidney .
  • Arrowheads pointing to normal parenchymal enhancement.

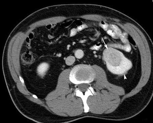
CT scan in another patient with Renal Cell Carcinoma

  • Mass is cystic and solid.
  • Tumor nodules are seen arising from the wall of the cyst.

Renal Cysts

Ultrasound can easily distinguish renal cysts from mass lesions.

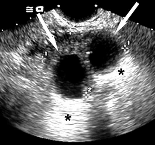
Simple Anechoic Renal Cysts

Arrows points to cyst.

* Points to  good through transmission of echoes behind the cyst.

 
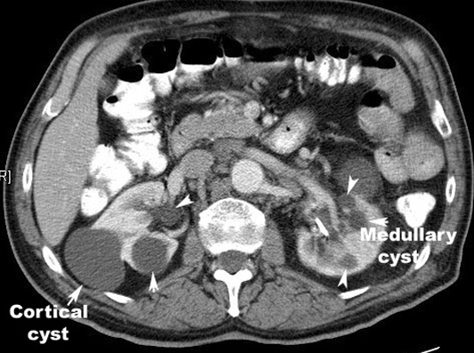
Multiple renal cysts

Renal Abscess

Large low density mass within the parenchyma of right kidney, with a crescentic rim of renal parenchyma posterior to the abscess.