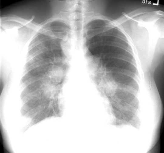
32 year old female referred because of abnormal chest x-ray detected during a routine pre employment screening. History of Bell's palsy 2 years back.

 

Findings:

    • Lymph nodes
      • Bilateral symmetrical hilar nodes
      • Potato nodes
      • Mediastinal nodes (not in anterior mediastinum)
    • Alveolar infiltrates

Diagnosis

Sarcoidosis

Next