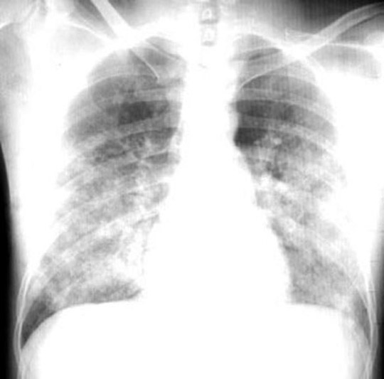
58 year old male presets with acute onset of left chest pain radiating to left arm. Pain was not relieved by Nitroglycerine and rest. He develops severe shortness of breath.

 

Findings:

  • Bilateral alveolar densities
  • Butterfly pattern
  • Hilar haze

Diagnosis

Pulmonary Edema