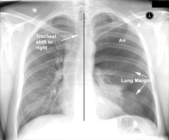
Pneumothorax

  • Air in the pleural cavity
    • No vascular markings
    • Dark
  • Atelectatic lung margin
  • Shift of Mediastinum to opposite side
  • Left hemithorax larger, closer to TLC position