 |
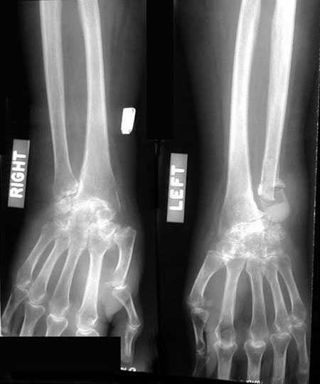
48 year old Nurse, with long
history of rheumatoid arthritis presents with cough and shortness of
breath for the past two months. She is on 15 mgm of Prednisone daily.
Findings:
- Density
- In dependent portion
- Costophrenic angle in PA view
- Anterior and posterior portions of
gutter in lateral view
- Along sides in lateral decubitus
position
- Along posteriorly in supine
position, giving diffuse haziness on the side of effusion
- Silhouette of upper limit of density
- Upper margin high in axilla in PA
view
- Upper margin high interiorly and
posteriorly in lateral view
- Blunting of costophrenic angle
- Lack of identifiable diaphragm
(silhouette sign principle
Diagnosis
Rheumatoid Pleural Effusion
Next
|