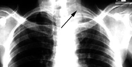
72 year old male presents to Rheumatologist for left shoulder pain.

 

Findings:

  • Apical shadow
  • Apical cap
  • Destruction of posterior first two ribs
  • Shoulder droop: Brachial plexus involvement
 

Diagnosis

Pancoast Tumor