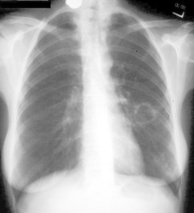
48 year old female presents with low grade fever, dry cough and 12 lbs weight loss in the past two months.

 

Findings:

  • Thin walled cavity in left mid lung field
  • No inflammatory response around cavity (unlike Tuberculosis)

Diagnosis

M Kansasii Infection

Next