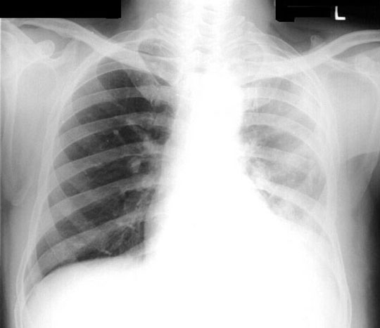
48 year old female presents with low grade fever, dry cough and 12 lbs weight loss in the past two months.

 

Findings:

  • Unilateral haziness
  • Smaller left hemithorax
  • Chest wall swelling
  • Loss of diaphragmatic silhouette
  • Blunting of costophrenic angle
  • Pleural thickening / Mass

CT showing pleural mass encircling lung.  

Diagnosis

Mesothelioma

Next