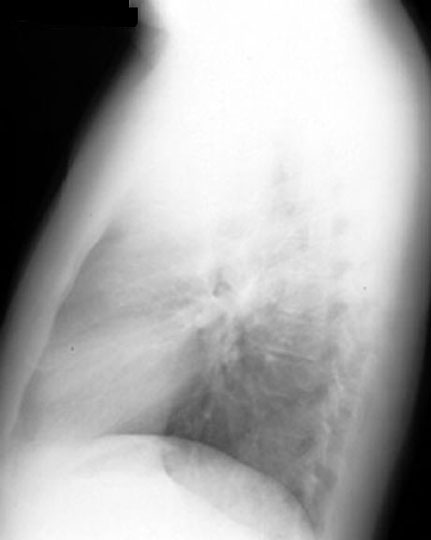
48 year old female presents with low grade fever, dry cough and 12 lbs weight loss in the past two months.

 

Findings:

  • Mediastinal adenopathy
    • Particularly in anterior mediastinum
    • Bilateral and asymmetric
    • Large and bulky

Diagnosis

Anterior Mediastinal Mass

Lymphoma

Next