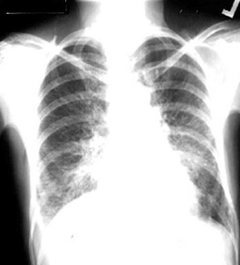
55 year old female presents with severe shortness of breath of two months duration. History of bilateral mastectomy for cancer breast 10 years back.

 

Findings:

  • Kerley lines
  • Full hilum
  • Subpulmonic effusion on right

Diagnosis

Lymphangitic spread Cancer Breast

Next