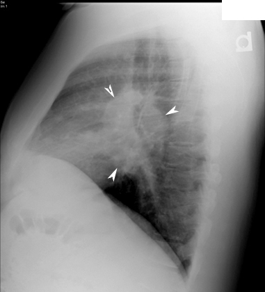
• Arrowheads point to hilar adenopathy. 

Next