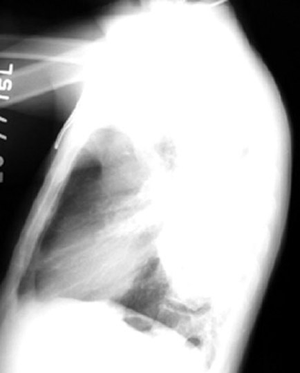
47 year old alcoholic presented with fever, cough and weight loss of 3 weeks duration.  History of 40 pack years of smoking.

 

Findings:

  • Superior segment RLL dense pneumonia
  • Note the progression  / Cavity / Complete clearance
  • Necrotizing pneumonia

Diagnosis

Aspiration Lung Abscess

Next