58 year old female presents with cough and blood tinged sputum for the past two weeks. 50 pack years of smoking. Mild clubbing of fingers..

 

Findings:

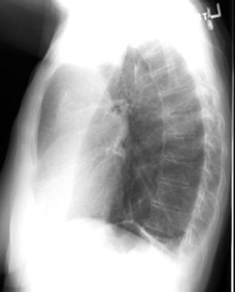
  • You need a lateral view to appreciate the movement of oblique fissures. Forward movement of oblique fissure in LUL atelectasis. 

Diagnosis

LUL Atelectasis

Bronchogenic carcinoma

Next