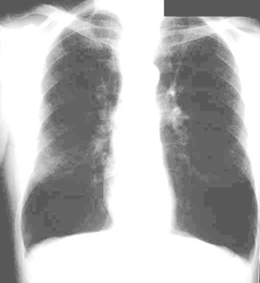
Emphysema/Alpha 1 Anti-Trypsin Deficiency

Vascular markings are not recognizable. Cephalization of vessels is not evident. Hyperlucent lung fields. Vertical Heart.

Increased AP diameter.