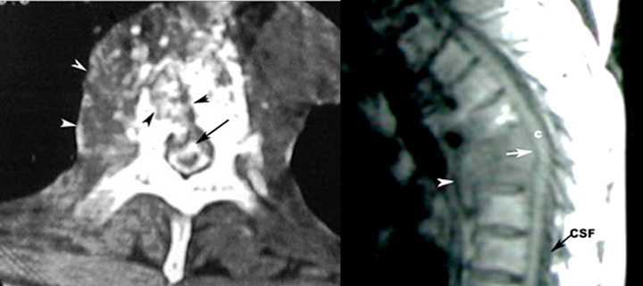
Tuberculosis Thoracic Spine With Paravertebral Abscess
CT
  • White arrowheads point to paravertebral abscess.
  • Black arrowheads point to destroyed vertebra.
  • Black arrow points to contrast filled thecal sac, compressed by bony fragment.
  • MR
  • White arrowhead points to paravertebral abscess.
  • White arrow points to compression of the cal sac by the destroyed vertebra.
  • C: Cord
  • CSF: cerebrospinal fluid
  •  

    Next