Segmental pneumonia

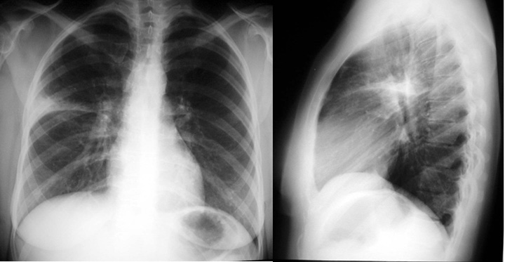
Right upper-lobe, anterior segment pneumonia; bronchoscopy revealed an endobronchial tumor in the anterior segment of RUL.

Next