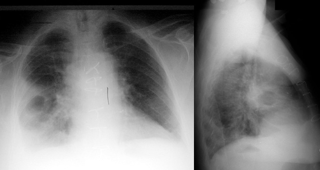
Pseudomonas Pneumonia

Acute rapid progression to cavitation

Next