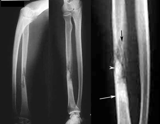
Osteomyelitis

  • Black arrow points to bony destruction.
  • White arrow points to sequestrum.
  • Arrowhead points to area of sclerosis indicating chronicity.

 

 

Next