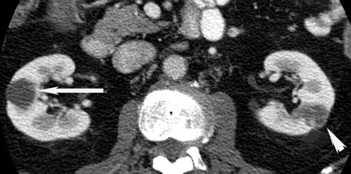
Simple Renal Cyst Right Kidney/ Cancer left kidney

Renal Cyst (arrow).

Renal carcinoma (arrowhead).

Contrast the clear well defined fluid filled cyst, from a cancer which appears as a cystic mass with enhancing tissue within.

 

Next