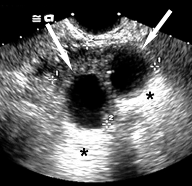
Simple Anechoic Renal Cysts

Cyst (arrow).

Through transmission (asterix).

 

Next