Genito Urinary Case 1: Renal Cyst

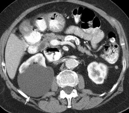
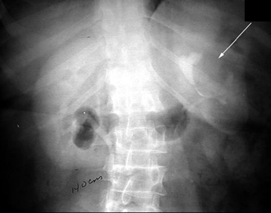
Spine x-ray shows severe osteoarthritic changes of lower lumbar spine. Incidentally there is a soft tissue mass overlying left renal area. Workup of this incidental mass turned out to be Simple Renal cyst.

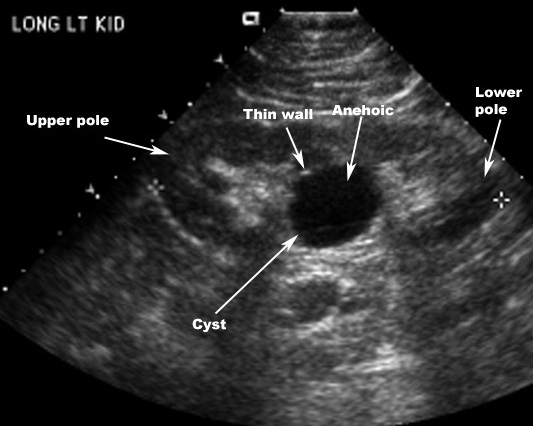
Renal Masses are often detected as an incidental finding on KUB or IVP.  Ultrasound would be the first test of choice to characterize the mass since no IV contrast or radiation is used. It is ideal for children, pregnant women and patients with renal failure. If the lesion is clearly cystic, no further test is necessary. If solid, contrast CT should be done.

Simple Renal Cyst:

Ultrasound characteristics:

Contrast CT characteristics:

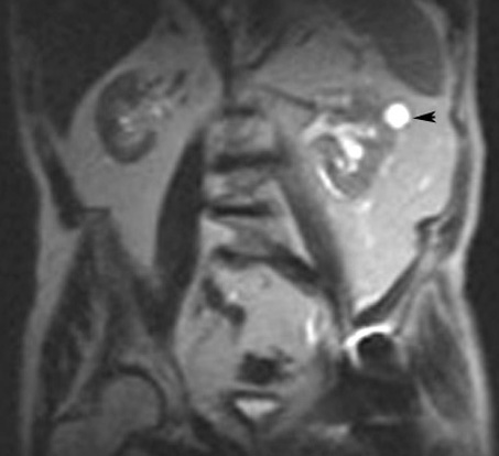
MRI: is useful when US is equivocal and contrast CT could not be done because of renal failure.

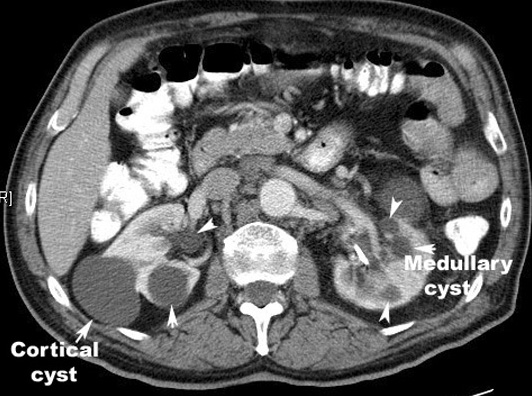
Complicated Cyst should be considered when there are:

A simple cyst can be complicated by either infection, carcinoma, or hemorrhage

Next