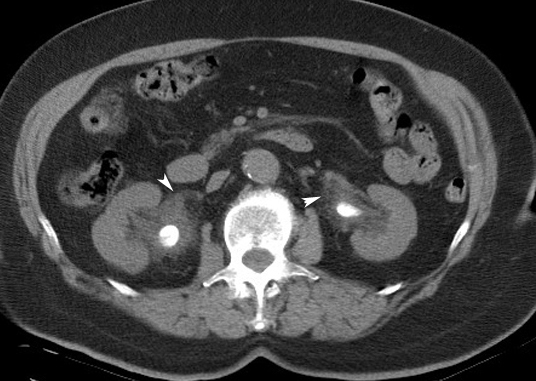
Bilateral Renal Pelvis Calculi

Arrowheads: There is soft tissue infiltration secondary to extravasation of urine around both renal pelvis.

Next