GI and Abdomen Case 4:  Appendicitis / Abscess

Usually no radiological work up is needed.

Radiological Features (findings are not always specific):

Ultra Sound (graded compression is used):

A normal appendix is not seen most of the time. There are many false positive results and negatives in this procedure. However, this definitely has a place in children and pregnant women.

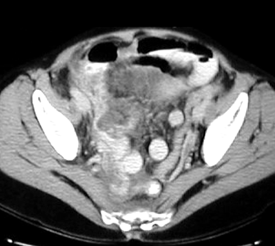
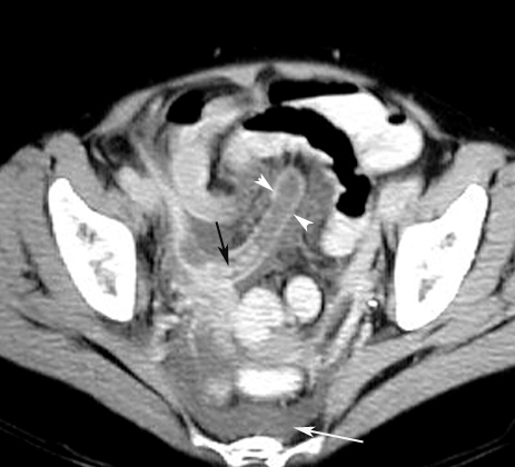
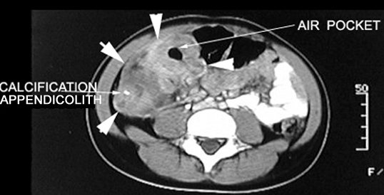
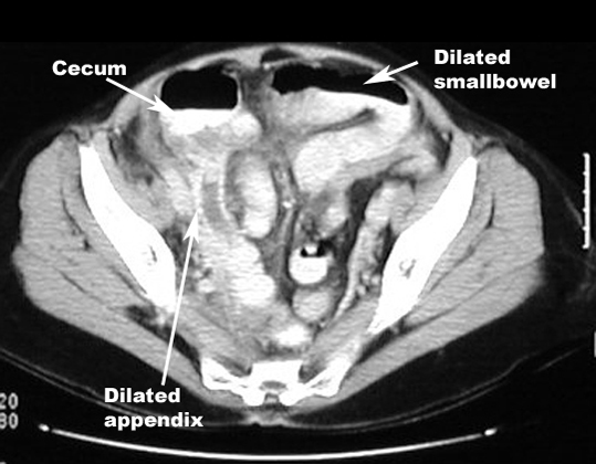
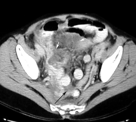
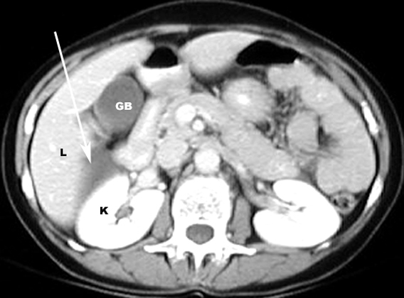
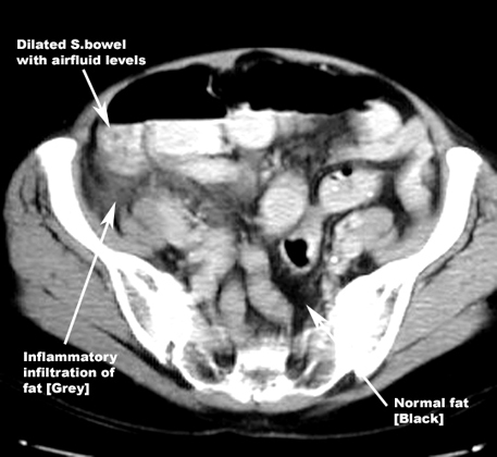
CT: Highly accurate

Signs:



Pre:

Image      Image        Image     Image   Image      Image   Image     Image   Image     Image   Image    Image

Next