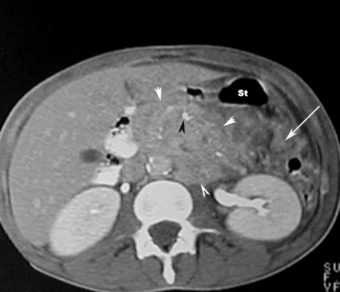
Acute Pancreatitis

Phlegmon / Inflammatory mass

  • White arrowheads: Phlegmon
  • Black arrowhead: Pancreatic calcification
  • Large Arrow: Peripancreatic fascial infiltration

St: Stomach

 

 

 

Next