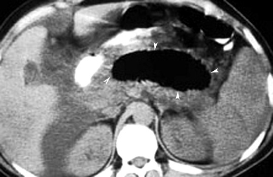
Pancreatitis with lesser sac abscess