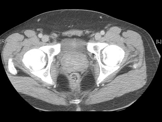
Identify the rectum and prostate in this CT. Click the image for labeling.