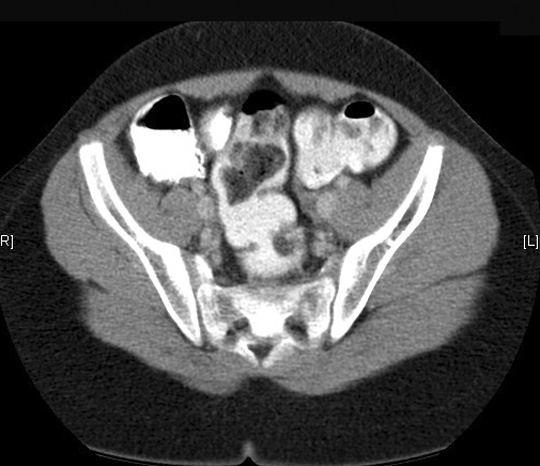
Note the rectosigmoid. Click the image for labeling.