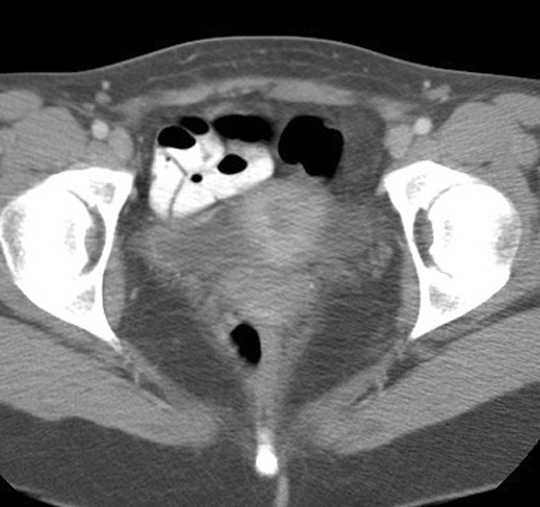
Identify the levator ani. Click the image for labeling.