Large Intestine
- General
- The large intestine is about 1.5 m long
- Extends from the ileo cecal valve to Anus
- Its direction as it leaves the cecum is upward
(ascending colon), across the abdominal cavity (transverse colon) beneath
the stomach, and then downward (descending colon) on the left side of the
abdominal cavity, making a sharp turn in the left lower portion (sigmoid) to
merge with the rectum.
- Calibre decreases from cecum to rectum
where there is dilatation above the anal canal.
- The large intestine is at the superior and
lateral edge of the abdomen
- Regions
- The large intestine has three longitudinal
muscle bands (taenia coli) with bulges in the wall (haustra) between them.
- On X-ray, the colon is
identified by the sacculations called haustra scattered all along the colon.
- The colon has fat filled tags called
appendices epiploicae on its its surface.
- These haustra and epiploicae separate the large from the small intestine.
Ascending Colon
- Ascending Colon is the first part of the colon
- From appendix up to a flexure at the liver
- It lies on the right side of the
abdomen.
- 15 cm long
- Its direction as it leaves the cecum is upward
- It is intraperitoneal
- Only the transverse and part of the ascending colon are considered
to be intra-peritoneal organs.
- Cecum
- Measures about 6 cm by 7.5 cm
- The first part of the ascending colon is the cecum
and ileum enters the cecum at its medial surface
- Appendix is attached to the cecum at its posterior and
medial aspect.
Transverse
Colon
- This part of the colon is intraperitoneal
- It begins at the
hepatic flexure and ends at the splenic flexure.
- The transverse colon
is the longest part of the colon, 50 cm long.
- It may dip down to the pelvis and the
position is variable..
Descending Colon
- Begins at the splenic flexure and descends
downward to left groin
- It is about 25 cm long
- It is located on the left side
of the abdomen and lies along the left paracolic gutter.
- Descending Colon is retroperitoneal
- Descending Colon is connected to the posterior abdominal wall from the splenic flexure
to the pelvis.
Hepatic flexure
- Above and anterior
- Behind
- Medially
- Gall bladder fundus
- Duodenum
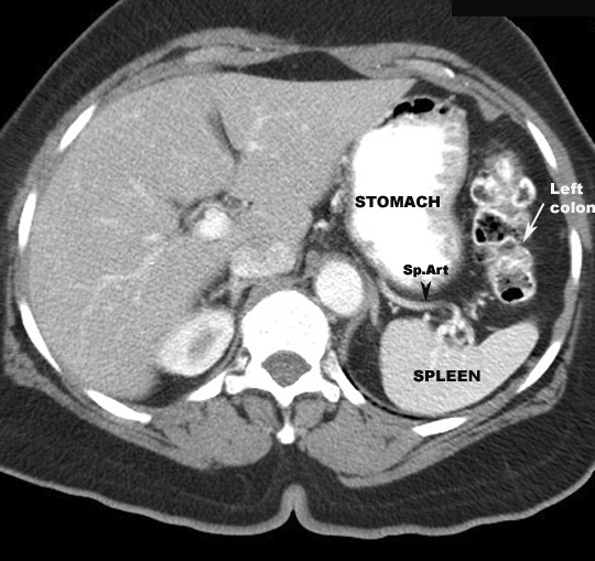
Splenic flexure
- Attached to diaphragm by phrenico-colic
ligament
- Related to
- spleen
- Tail of pancreas
- Left kidney
Blood supply
- The arterial blood supply to
the cecum comes from the ileocecal branch of the superior mesenteric artery.
-
The arterial supply to the ascending colon comes from the ileocolic and the
right colic branches of the superior mesenteric artery.
- Both the
small intestine and ascending colon derive their blood supply from the
superior mesenteric artery and are therefore classified as midgut organs.
- The transeverse colon is supplied by the middle colic artery, a
branch of the superior mesenteric artery.
-
This descending colon derives its blood supply
from the left colic branch of the inferior mesenteric artery.
Applied Anatomy