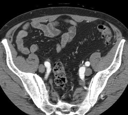
Common iliac vein. Click the image for labeling.