Duodenum
- The duodenum is the first part of the small
intestine
- It has no mesentery.
- It is about 25 cm long.
- Duodenum forms a C-loop
around the head of the pancreas.
- It is divided into four parts
- The first part
- From pylorus to Gall bladder neck
- is
encased in the hepatoduodenal ligament
- Measures 5 cm
- The second part
- From neck of Gall bladder to L3
- Descending part
- 8-10 cm long
- It is a retroperitoneal structure.
- Contains the ampulla, into which the pancreatic duct and common bile
duct drain.
- The third part
- Transverse part
- Extends from L3 across left and upwards
- About
10 cm in length.
- The fourth part
- Continues as jejunum at L2
- Held in place by the ligament of Treitz.
- This ligament connects the
duodenum to the right crus of the diaphragm.
1st part duodenum
- Relationship
- Above and anterior
- Quadrate lobe of liver
- Gall bladder
- Behind
- Gastrodudenal artery
- Bile duct and portal vein
- Head and neck of pancreas
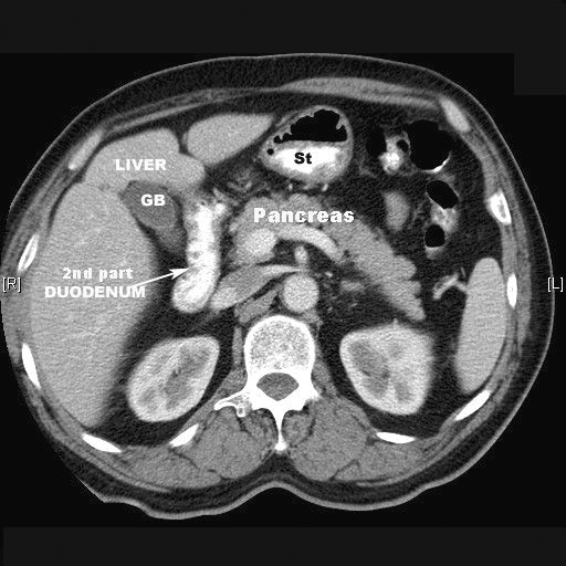
2nd part duodenum
- Anterior
- Liver
- Transverse colon
- Jejunum
- Posterior
- Right kidney
- Right renal vein
- IVC
- Psoas
- Mediallly
- Head of pancreas
- Bile duct
- pancreatic duct
- Lateral
3rd part of duodenum
4th part of duodenum
- Right
- Left
- Above
- Anterior
- Transverse colon
- Mesocolon
Applied Anatomy