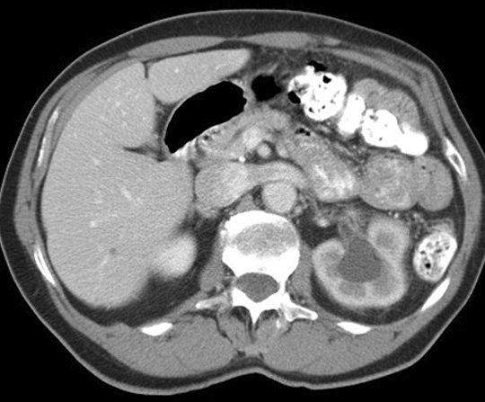
Note the relationship of the duodenal bulb. Click the image for labeling.