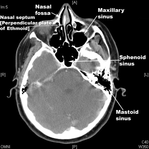
Identify Maxuillary, Mastoid,Sinuses  sphenoid sinuses and Nasal fossa