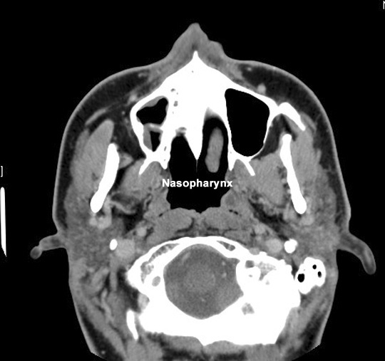
Identify the nasopharynx. Click the image for labeling.