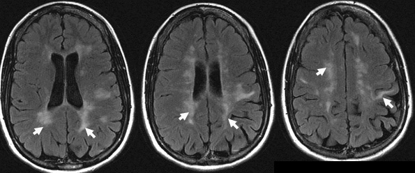
Multiple sclerosis plaques occur in the white matter of the cerebral hemispheres, brain stem and spinal cord.
They are seen as bright lesions on T2 weighted or FLAIR series MRI.
Acute lesions may enhance.
The bright MRI lesions of MS may be impossible to distinguish from subcortical infarctions, so clinical knowledge of the patient is crucial.
F-37 was paraparetic postpartum 6 yrs ago, with subsequent blurry left eye, then weak, numb (decreased pinprick and proprioception) and spastic right lower limb 3 yrs ago.

Nonenhanced brain MRI (FLAIR) images show asymmetrical, abnormal high signal white matter lesions in the periventricular and subcortical areas