VIRAL HEPATITIS B


ETIOLOGY

THE VIRUS

The virus is a Hepadnavirus (from Hepa=liver, dna=DNA ), a family of viruses that produce hepatitis in woodchucks, squirrels, ducks and humans. It is responsible for the most chronic infectious disease in the world. Around 300 million people are infected and over 1 million die every year of cirrhosis and liver cancer induced by this infection.

The hepatits B virus

Fig 94 - The hepatitis B virus: Partially double and single-stranded DNA genome enclosed in a icosahedral nucleocapsid (core antigen) of 27 nm in diameter which is surrounded by a glycoprotein envelope of 42 nm in diameter (surface antigen). The virus therefore, possesses two shells. Core antigen in seen in the liver but not in the blood. Anti core antibody is detected in the blood. The surface antigen is produced by the virus in large quantities and shedded in the blood stream as spherules and rods of 22 nm diameter entirely composed of glycoproteins. Among them, under electron microscopy are larger spherule of 42 nm diameter which are the intact virions, the Dane particles. HE protein is present in the blood in carriers and correlates with viremia.

 

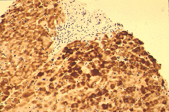
Surface antigen in hepatocyte

Fig 95 - Surface antigen in hepatocyte: It is present as brown granules only in the cytoplasm of hepatocyte. The nuclei are stained blue with hematoxylin counterstain.(Immunoperoxidase technique).

 

 

Core antigen in hepatocyte

Fig 96 - Core antigen in hepatocyte: At difference with surface antigen It is present in the nuclei of hepatocyte. Here the virus replicates and acquires the envelop of surface antigen in the cytoplasm.

 


DIAGNOSIS OF HBV INFECTION

Presence of hepatitis B surface Antigen (HbsAg) in the blood indicates infection.Surface antigen particles either in form of spherule or rods are not infectious but they coexist with the infective virion which are made of viral DNA, "e" antigen, the capsid "c" (core) antigen and the external envelop of "s" antigen which together form the 42nm Dane particles.The number of virion may be very low as 1 particles per ml or very high as millions of particles per ml.The consquences of these different concentrations are obvious. In the nucleus of the hepatocyte the virion has only the capsid of core antigen, but not in the blood where core antigen cannot be detected.The virion has a genome or circular DNA of 3221 bases only partly double stranded. Most of the genomic sequence is occupied by the gene for viral DNA polymerase which is another parameter for diagnostic assay. After the virus has invaded the cell it induces the cell to synthesize RNA which through viral reverse transcriptase induces the synthesis of viral DNA which with the antigens of the core and surface produced by the hepatocyte form the complete virion which goes to infect another hepatocyte. The assaying of these viral components provide the data for the assessment of the presence and the activity of viral hepatitis B infection.

COURSE OF HB. INFECTION

The characteristic of HBV infection is that of producing a spectrum of clinical manifestations which vary from the mildest subclinical resolving cases to the most dramatic rapidly fatal illnesses or the most persistent chronic infection progressively leading to incurable complications. The course is affected by two factors: the viral charge and the host response.

The virus may produce :

1 - An asymptomatic transient infection

2 - An acute resolving hepatitis

3 - An acute chronic hepatitis B


PATHOLOGY OF ACUTE ICTERIC HEPATITIS B

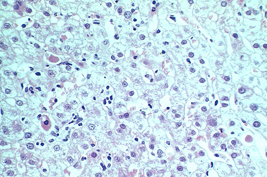
"Lobular disarray"

Fig 97 - "Lobular disarray": Loss of hepatocyte, inflammatory reaction, Kupffer cell mobilization an hepatocellular swelling distort the pattern of the liver plates somewhat confusing the lobular architecture.(H&E stain).

 

 

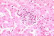
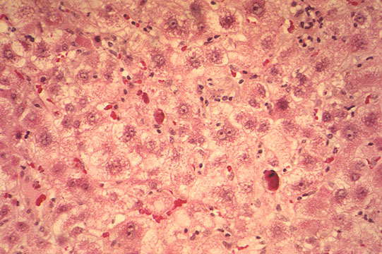
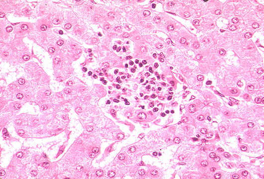
Focal necrosis

Fig 98 - Focal necrosis: In the center of this slide there is a focus of cell dropout with inflammatory reaction

 

 

Confluent necrosis

Fig 99 - Confluent necrosis: It is the confluence of many groups of focal necrosis. Note multiple foci of cell dropout. The tissue was stained with PAS technique which stains glycogen granules red.

 

 

 

Bridging necrosis

Fig 100 - Bridging necrosis: It is the confluence of many groups of focal necrosis. Note multiple foci of cell dropout. The tissue was stained with PAS technique which stains glycogen granules red.

 

 

 

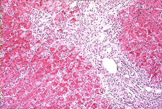
Massive and submassive hepatic necrosis

Fig 101 - Massive and submassive hepatic necrosis: Massive necrosis is fatal, involving the entire liver parenchyma. Submassive necrosis may not be fatal involving more severely large areas of the liver but less severely in other areas. It is , however, complicated by cirrhosis. Here is an example of submassive necrosis. Only a few periportal liver cell plates are viable in this open liver biopsy but other parts of the liver were less damaged.

 

 

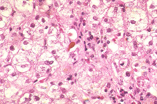
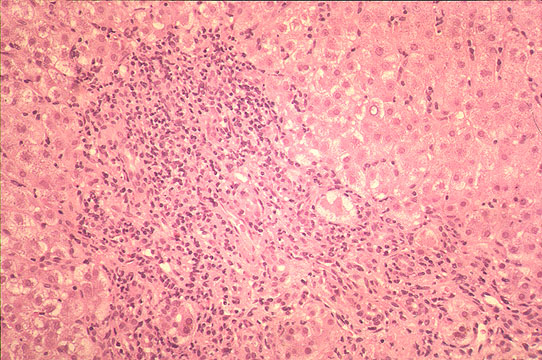
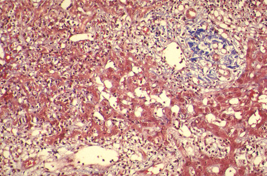
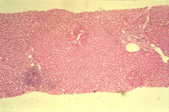
Portal and periportal inflammation

Fig 102 - Portal and periportal inflammation: Portal inflammation is always present in most portal tracts. The inflammatory cell s are mostly lymphocytes sometimes forming lymphoid follicles, plasma cell containing gamma globulins mostly IgG type, macrophages containing iron granules. There may be bile duct damage. Periportal inflammation with disruption of periportal limiting plate and piecemeal necrosis is also present. An acute hepatitis with portal inflammation and many segmented leucocyte and eosinophils is usually not viral. In this case of acute hepatitis B there is marked portal inflammation and periportal piecemeal necrosis with ballooned hepatocyte.

 

 

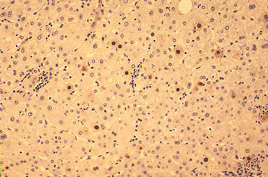
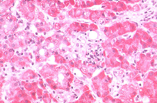
Hepatocellular damage

Fig 103 - Hepatocellular damage: Hepatocyte suffer shrinkage with formation of acidophilic bodies (Councilman bodies), swelling ('ballooning degeneration"), accumulate bile pigment and drop out leaving gaps which in resolving cases will be filled with new cells. Notice in this slide swollen hepatocyte and two Councilman bodies.

 

 

Fulminant fatal acute viral hepatitis

Fig 104 - Fulminant fatal acute viral hepaptitis: The liver is soft, flabby, friable, yellowish-green, collapsed, shrunken ("acute yellow atrophy")

 


PATHOGENESIS

After infection the virus induces the hepatocyte to synthesize non- particulate Core antigen which is transported to the nucleus and assembled in core particles, 27nm in diameter. These particles can be demonstrated by immunostains. Presence of Core antigen particles in the nucleus indicates active viral replication. These particles flow from the nucleus into the cytoplasm and into the cisternae of the rough cytoplasmic reticulum where, with surface antigen synthesized in the same cisternae form the complete Dane particles which are released into the extracellular space with large amounts of excessive surface antigen. The question to ask is : is the cellular damage a direct effect of the virus or the result of an immune response of the host? It appears the virus is not cytotoxic and the cytolysis is apparently produced by cytotoxic lymphocytes sensitive to one or more viral antigens. This theory was postulated in 1972. (Dudley, Lancet, I: 723, 1972). In 1981 it was discovered that HBV-DNA in hepatocyte may exist as an integrated (double-stranded, intranuclear) form or as an episomal (free, circular, low- molecular weight, single- stranded, intracytoplasmic ) form. Both forms may exist in the same hepatocyte. (Shafritz, NEJM, 305:1067,1981).It appears that active viral replication is associated with predominantly episomal viral DNA while low replication is associated with integrated viral DNA.Cases of chronic hepatitis of short duration (1-2 years) exhibit predominantly episomal (cytoplasmic) viral DNA while cases of longer (6-8 years) duration exhibit integrated, intranuclear viral DNA. Cytotoxic T-.lymphocytes sensitive to viral antigens mediate the lysis of infected hepatocytes.(Thomas et al, Hepathology 2; 116S-121S, 1982). Montano et al, Hepatology, 3:292-296,1983)

 

DIAGNOSIS OF ACUTE ICTERIC HEPATITIS B

Diagnostic features

Fig 105 - Diagnostic features:
The incubation period may be very long. General symptoms arise weeks before the jaundice.Serum transaminases are elevated even before general symptoms and jaundice appear. Surface antigen ( HbsAg) may be detected by radioimmunoassay as early as one week after contacting the virus by parenteral inoculation and 3-4-5 weeks before having any feeling of being sick.

 

 


ACUTE HEPATITIS B, Clinical Forms, In Adults

ACUTE VIRAL HEPATITIS B, Extrahepatic manifestations

(References: 1-Bader TF:Viral hepatitis, practical evaluation and treatment, 
               H&H Publishers 1995.
             2-Seef LB: Diagnosis, therapy and prognosis of viral hepatitis 
               in: Zakin D, Boyer TD,eds.Hepatology: a Textbook of liver 
               disease. Wb Sanders, Philadelphia, 1990.
             3-Dusheiko G, Hoofnagel JH in: Oxford textbook of clinical 
               hepatology; Oxford University Press 1991, Mc Intire N,Benhamou 
               JP,Bircher J,Rizzetto M,Rodes J, Editors.
 


CHRONIC HEPATITIS B

DEFINITION: PERSISTENCE OF HEPATITIS B VIRUS FOR MORE THAN 6 MONTHS.

The persistence of the virus produces different damage in different individuals depending on the viral charge and the host reaction.The majority of patients, 3/4, a mild or minimal or no damage at all. They look " healthy" and almost all become free of disease. These are asymptomatic carriers. A smaller number of patients, 1/4, have more damage,are "sick" an d most of them develop complications, namely, cirrhosis and hepatoccellular carcinoma.These are the symptomatic carriers.All chronically infected patients , however, either healthy looking or sick, can transmit the virus on contact.

PATHOLOGY OF CHRONIC HEPATITS B

In chronic hepatitis histological examination of the liver is nacecessary in order to eastimate the the presence , activity, and extent of the liver damage,detect stigmata of different viruses, supply creteria for treatment, evaluate results of treatment and detect complications (fibrosis, cirrhosis, hepatocellular carcinoma). In order to standardize the language of their reports, a group of 9 pathologists in 1968 proposed the following reporting format.

Due to the simplicity of this subdivision , the advent of treatment with interferon and the necessity to estimate more adequately the results of the treatment another group of 16 pathologists in 1995 devised a numerical system to report the grade and the stage of the lesion.(Journal of Hepatology 1995;22:696-699). Grade is the intensity of necrosis and inflammatory reaction. Stage is the structural progression of the disease. The following scoring scheme has been proposed.


TABLE 1 - GRADING: Necroinflammatory scores Score
A. Periportal or periseptal interface hepatitis (piecemeal necrosis) Absent 0 Mild (focal, few portal areas) 1 Mild/moderate(focal, most portal areas) 2 Modearte(continuous around 50% of tracts or septa) 3 Severe(continuous >50% of tracts or septa 4 B. Confluent necrosis Absent 0 Focal confluent necrosis 1 Zone 3 necrosis in some areas 2 Zone 3 necrosis in most areas 3 Zone 3 necrosis + occasional portal-central (P-C) bridging 4 Zone 3 necrosis + multiple P-C bridging 5 Panacinar or multiacinar necrosis 6 C. Focal (spotty) lytic necrosis, apoptosis and focal inflammation Absent 0 One focus or less per 10X objective 1 Two to four foci per 10X objective 2 Five to ten foci per 10X objective 3 More than ten foci per 10X objective 4 D. Portal inflammation None 0 Mild, some or all portal areas 1 Moderate, some or all portal areas 2 Moderate/marked, all portal areas 3 Marked, all portal areas 4   Maximum possible score for grading = 18   Additional features (not to be scored): Bile duct inflammation and damage Lymphoid follicles Steatosis, mild, moderate, marked Hepatocellular dysplasia, large or small cell Adenomatous hyperplasia Iron or copper overload Intracellular inclusions (PAS-positive globules, Mallory bodies)   Immunohistochemical findings (not to be scored): Viral antigens, lymphocyte subsets    
TABLE2 - STAGING: Architectural changes, fibrosis and cirrhosis Score
No fibrosis 0 Fibrous expansion of some portal areas with or without 1 short fibrous septa Fibrous expansion of most portal areas with or without 2 short fibrous septa Fibrous expansion of most portal areas with occasional 3 portal-portal bridging Fibrous expansion of portal areas with marked portal-portal 4 (P-P) and portal-central (P-C) bridging Marked bridging (P-P and/or P-C) with occasional nodules 5 (incomplete cirrhosis) Cirrhosis, probable or definite 6   Maximum possible score 6   Additional features (not to be scored): Intra-acinar fibrosis. Perivenular ("chicken-wire")fibrosis. Phlebosclerosis of terminal hepatic venules.   The report may include the numerical score, especially in evaluating the effect of treatment, and always resumptive wards. The following categories are easily separated.   1-Asymptomatic carrier state 2-Minimal chronic hepatitis 3-Mild " " 4-Moderate " " 5-Severe chronic hepatitis with/without cirrhosis.   The same type of grading and staging is used for chronic hepatitis due to other causes such as chemicals and immunological etiologies.   The final management of each case, besides the histological changes will take into consideration also laboratory findings, clinical symptoms and viral charge.    


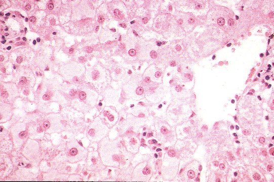
ASYMPTOMATIC CARRIER STATE

Are those individuals who are healthy, histologically do not show any liver damage except ground glass hepatocyte which are loaded with hepatitis B surface antigen but they ar infected with the hepatitis B virus.

Ground-glass hepatocytes

Fig 106 - Ground-glass hepatocytes

 

 

Example of minimal or mild chronic hepatitis B
(CHRONIC PERSISTENT HEPATITIS (CPH)

Three-fourths of patients chronically infected with hepatitis B virus will have the mild forms of chronic hepatitis with: no, minimal or mild histological changes.-Minimal or no elevation of transaminases (ALT,AST). B viral DNA will be present.

EXAMPLE

44 year old male, 10 years after hepatitis B infection. ALT 117, AST 66, Alkalin Phosphatase 160.

Fig 107 - Moderate Inflammation of occasional portal tracts. Notice

one inflammed portal area and tow others relatively normal.

Also there is no significant necroinflammatory necrosis of

the lobular parenchyma

 

 

Fig 108 - In the inflammed portal field there is minimal erosion of

the limiting plate and little interface (piecemeal )

necrosis.

 

 

Fig 109 - The non-inflammed portal field is somewhat expanded with

fibrosis but has intact limiting plate.There is no

periportal fibrosis.

 

 

Fig 110 - Very occasional apoptotic cells (Councilman bodies) are seen in the lobular parenchyma.

 

 

Interface hepatitis = 1 Interface hepatitis = 1 Confluent necrosis = 0 Focal necrosis = 1 Portal inflammation = 2 Fibrosis = 1 Total score= 5 (range 1-24)

Example of Severe Chronic Hepatitis B wthout Cirrhosis.
(Chronic active hepatitis, severe)

Example with Total score = 13 (range 1-24).

Fig 111 - Marked Inflammation of all portal fields. Notice three portal fields infiltrated by inflammatory cells with erosion of limiting plates. Score=4

 

 

Interface hepatitis

Fig 112 - Interface hepatitis: Marked mononuclear

infiltration of all portal tracts with erosion of limiting

plates and piecemeal necrosis. Score=4

 

 

Lobular inflammation

Fig 113 - Lobular inflammation: There is no confluent

necrosis but there is focal necrosis with Councilman bodies,

one with a pyknotic nucleus. Score=2

 

 

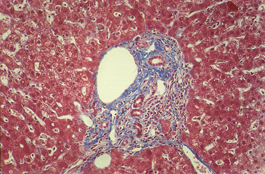
Fibrous changes

Fig 114 - Fibrous changes: Fibrous expansion of all portal

fields with occasional portal-portal Bridging. Score=3

 

 

COURSE OF CHRONIC HEPATITIS B

Course in adults

Remission can occur after years or decades of persistent illness and is indicated by the disappearance of viral DNA,DNA polymerase activity, HBeAg and normalization of serum transaminases. Some (10%) of patients may have the reactivation of the process more than once in a progressively aggressive manner and die of cirrhosis.

Course in children

The infection of hepatitis B in children has a different course.

 

COMPLICATIONS

The disease becomes life-threatening only when cirrhosis and/or hepatocellular carcinima develop.The following complications are encountered:

1-RECURRENT FLAR-UPS.They are common in chronic hepatitis and each time they cause more scarring.

2-CIRRHOSIS, slow progressing.It develops in a small percentage of patients and early in the fist few years of the disease. Alcohol even in small amounts will adversely affect the course of the cirrhosis.

3-HEPATOCELLULAR CARCINOMA. It may arise with presence or even absence of cirrhosis.In the Orient the incidence of carcinoma is 15% with men more affected than whomen.The incidence is less in the western world.

4- IMMUNE COMPLEX DISEASE, (polyarteritis nodosa, membranous glomerulonephritis).

 

PROGNOSTIC FACTORS FOR CHRONIC HEPATITIS B

Incidence of chronicity of viral hepatitis B as well as its course and outcome is very variable and is influenced by several factors:

AGE: It is here opportune to remember that only 5-10 % of adults infected with hepatitis B virus will become chronic carriers while the infection in I children will become chronic in up to 90 % of infections contracted in the perinatal period and in a lower percentage in children with more advanced age. While, however, 20% of adults wit chronic disease develop cirrhosis, children do not and progressively, in years , they clear the virus.

SEX: It appears that males are more affected than females.

FORM OF ACUTE INFECTION: The patients with mild and asymptomatic infection are more prone to become chronic than patients with acute icteric disease. The acute icteric infection has better tendency to resolve than occult infections

VIRAL REPLICATION:

    HIGH, high viral DNA , HBsAg+, HBeAg+  
          It has the highest probability to develop cirrhosis and 
          hepatocellular carcinoma and a small probability to seroconvert to 
          negative" e" antigen and heal in 1-20 years.
    
    LOW,  low viral DNA , Hbs Ag+, HBeAg -, Anti HE +
          It does not produce cirrhosis but may generate hepatocellular 
          carcinoma. 
          Healing from this form occurs at the rate of 1-2% per year and is 
          indicated by the appearance of Anti-HE antibodies.
 
    NONE, Absence of viral DNA, HbsAg -,Anti-HBsAg+,HBeAg-,Anti-HBeAg+.
          The liver is normal.

HISTOLOGY:

    CERTAINLY PROGRESSIVE: Severe chronic changes with bridging necrosis and 			
                           with HBV-DNA and positive HbeAg will certainly lead to cirrhosis.
    POSSIBLY PROGRESSIVE:  Chronic active changes more than mild changes 
                           with HBV-DNA+ or HbeAg+ may lead to cirrhosis.
    NON-PROGRESSIVE:       Chronic active changes (CAH) less than chronic 
                           persistent changes (CPH) without  HBV-DNA or HbeAg 
                           may not lead to cirrhosis.
    Histology  alone  cannot predict the evolution of the infection.
 

HOST RESPONSE:

    GROUP I:   Asymptomatic with normal ALT , negative HbeAg.  
    GROUP II:  Elevated ALT, negative HBV-DNA, no cirrhosis.
    GROUP III: Cirrhotic patient. 
 

 

EPIDEMIOLOGY AND PREVENTION OF VIRAL HEPATITIS B

The infection is acquired from blood and secretios of infected individuals.The disease is not highly infectious. The carriers with viral replication activity which is indicated by HbeAg and HBV-DNA are the most dangerous. Almost one half billion people throughout the world are infected by this virus.Its mortality is higher than AIDS over which the HBV infection has the advantage of an effective and safe vaccine and , therefore, it can be prevebted.The vaccines presently used are composed of viral surface antigen (Hbs Ag) obtained from the common baker's yeast,Saccharomyces cerevisiae, by inserting into it a gene for the synthesis of HbsAg.These are Yeast-Recombinant vaccines.Before this technology was devised, vaccines were made with Hbs Ag extracted from the plasma of infected patients with a high level of surface antigen.An hepatitis B Immunoglobulin (HBIG) is also available.It is prepared from plasma with a high titre of anti surface antibody(anti-Hbs Ab).It is administered to adults who have become in blood contact with an infected person and to children born to HBsAg positive mothers.The combination does not inactivate the immune response to yeast recombinant vaccine which can be administered even during pregnancy.Obviousely the vaccination is performed after testing for naturally existing immunity for HBV infection. Anti-HBc will identify immune individuals and chronic carriers. Anti-HBs will identify only immune individuals.The following individuals should be vaccinated: Household contacts, sexual contacts, medical care workers, hemodialysis patients, patients with repeated transfusion of blood and blood products, HIV positive individuals, intravenous drug abusers, contact with endemic areas.The vaccine is most effective when given in the deltoid muscle.90% of recipients responde.The immune antibody after vaccination is detectable up to 10 years but immunity appears to be longer. Rivaccination is so far not conteplated.

 

Treatment of viral hepatitis B

Drug treatment consists of alpha-interferon injections 3 times a week for 3-4 months under medical monitoring for side effects which are flue-like illnesses and changes in blood counts It is effective in 30-50 % of patients. In some cases the treatment may worsen the hepatitis. At difference of hepatitis C where interferon lessens the hepatitis. While C virus is a cytopathic virus and produces direct injury to the hepatocyte, B virus produces injury through an immune reaction mechanism the lymphocytes of the host which have become sensitive to the viral antigens such as surface antigen produce the necrosis of hepatocyte.Alpha- interferon in hepatic C causes inhibition of virus C and therefore causes less cell necrosis and a decrease of (ALT). Interferon in hepatitis B induces disappearance of the virus which increases lymphocyticsensitization to viral products and consequent more hepatocytic necrosis.The hepatitis will flare-up and serum transaminases will rise more than 2 folds with the possibility of death.Response to treatment in hepatitis B is slower than in hepatitis were it can be observed in a couple of weeks. The suppression of the virus is indicated by the disappearance of the viral replication markers: Hbe Ag and HBV-DNA. HBsAg may remain for longer time.Interferon treatment does not work well in patients

- who are not very sick

- who have impaired immune system such as in AIDS.

- children who contracted the infection from their mothers at birth.

 

Transplantation is the other treatment for actively replicating viral hepatitis BOTH. infection will recur in almost in every new graft sometimes with a serious type of cholestatic hepatitis, Fibrosing cholestatic hepatitis.(Davies et al, Hepatology, 13:150-157, 1991).Rapidly advancing cirrhosis and hepatocarcinoma are more frequent.The one year survival is 60% and 5 year survival is 50%.(Starzl et al,New Eng. J. Of Med.321:1092-199,1989).Transplantation is a preferable approach in acute fulminant viral hepatitis B.In order to prevent a certain infection of the graft the operation is done with large doses of hepatitis B immune globulin (HBIG).

CONTENTS