LIVER MURALIUM



Sinusoids
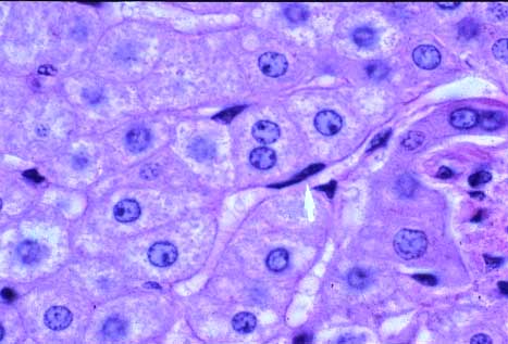
Fig 15 - The hepatocytes in the liver are placed one on top of the other and form walls which are called plates which run from the portal area to the central vein and are separated by a space in which the blood flows from the portal space to the central vein inside of flat anastomosing channels which are called sinusoids. The bile instead flows from the central vein to the portal space inside of this wall between hepatocyte. The construction is like that of brick walls,one brick thick,close together and interconnected, separated by narrow spaces. Here is the reason for the latin name of: muralium=system of walls,from murum=wall. The following formations are seen in the muralium . H&E stain.

The following formations are seen in the muralium.

endo.jpg (26223 bytes)
Endothelial Cells
Fig 16 - Endothelial cells: have wide flat cytoplasm and form the wall of the sinusoids. The cytoplasm has pores for the passage of plasma but not for circulating blood cells into the Disse space. The endothelium in sinusoids do not rest on a basement membrane  like in capillaries. Their cytoplasm do not contain D-PAS positive granules like Kupffer cells. Diastase- PAS stain.
kupffer.jpg (29749 bytes)
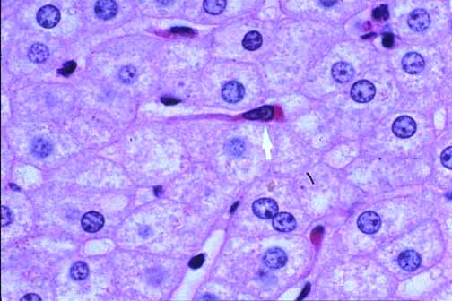
Kupffer Cells
Fig 17 - Kupffer cells: They are resident macrophages of the liver were they multiply.They have a bulging nucleus and diastase-resistant granules with PAS stain.They degrade red cells and hemoglobin to unconjugated bilirubin.Their presence has a significant diagnostic value because they increase in number in liver necrosis and phagocytize the debris of disintegrated hepatocytes. Tis slide was stained with Diastase-PAS.


Click on pictures to enlarge.



CONTENTS | LIVER MURALIUM CONT.