THE LIVER LOBULE



Cut Surface
Fig 1 - The cut surface of the liver reveals to the naked eye small,1.5 to 2 mm circular structures with a darker dot in the center and 4-5 darker dots at the periphery. These are the liver lobules. Notice a large radical of the hepatic vein and a large branch of the portal vein with adjacent bile duct.
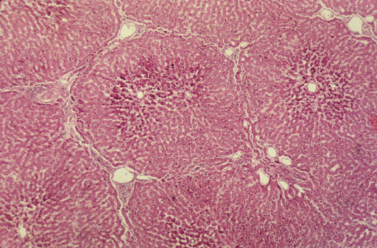
Central Vein and
Portal Spaces of
Lobule
Fig 2 - Under light microscopy,the lobule has a roughly polygonal shape.The central dark dot is the central vein and the peripharal darker areas are the 4-5 portal spaces at the angles of the polygon.
Portal microcirculation
of Liver Lobule
Fig 3 - Liver lobule demonstrated by portal microcirculation..  A dye was injected in the portal vein.  Notice 6 portal areas around the lobule,the lightly injected central vein and lobular sinusoids and the terminal portal vein extending from the portal area and around the lobule..  The terminal portal vein area is not visible in an H&E section of a normal liver but becomes evident in cases of periportal infalammation and fibrosis.



CONTENTS