HEPATIC VEINS


Central Lobular Vein

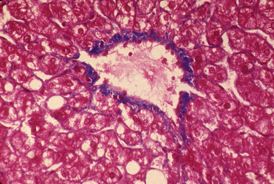
Fig 25a - From sinusoids the blood flows into the CENTRAL VEIN of the hepatic lobule. Central veins empty into larger SUBLOBULAR VEINS. These flow into larger COLLECTING VEINS which empty into the SUPRAHEPATIC VEINS which end in the INFERIOR VENA CAVA. The sinusoids empty into the central vein through large apertures. All sizes of hepatic veins do not have valves.



















CONTENTS