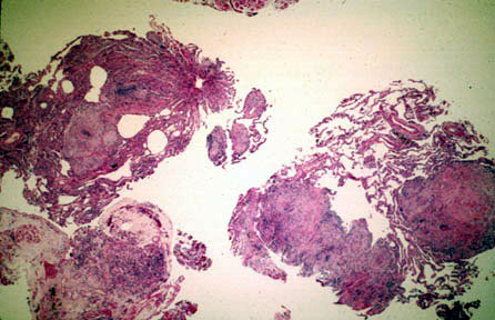
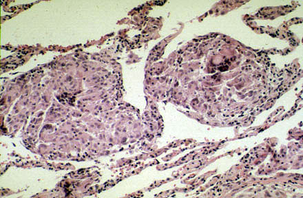
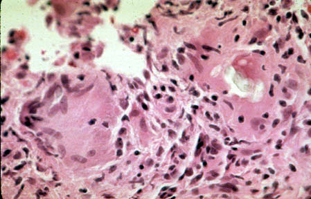
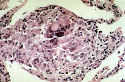
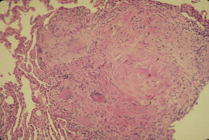
- The histologic hallmark is lymphangitic distribution of non-caseating
granulomas with Langhans' or foreign body type giant cells
- Within the granulomas there may be calcified, rounded, laminated
concretions known as Schumann's bodies
- With the giant cells there are often star-shaped inclusions (Asteroid
bodies)
- The above 2 are characteristic, but not diagnostic, of sarcoidosis
- There is varying degree of fibrosis around granulomas and in the
interstitium
- Sarcoidosis is a diagnosis of exclusion
Micro
Micro
Nodes
Micro
Micro
TBB
TBB
TBB
TBB