All of the following are GMS and PAS positive
- Candidiasis: pseudohyphae and budding yeasts
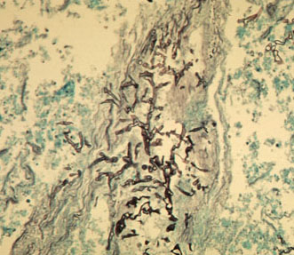
- Aspergillosis: septate, true hypae with acute angle branding
- Mucormycosis: non-septate, true hyphae, broad, ribbon-like, with
wide angle branching
- Histoplasmosis: granulomatous inflammation caused by small
budding yeasts (3-5 microns). Grossly, tree-barking appearance of
granuloma is characteristic
- Blastomycosis: mixed acute and granulomatous inflammation caused
by large budding yeasts, thick-walled with broad-based bud
- Coccidioidomycosis: granulomatous inflammation caused by variable
sized daughter cysts within large cyst wall. Thick walled spherule w/ numerous endospores
- Cryptococcosis: minimal or no inflammation, budding yeasts with
mucin positive capsule (which looks like a halo on H&E) and thin-based buds
Candida gms
?
?
?
?
GMS
PAS
?
Tx- S96-6246
Tx- Aspergillus
Tx-S93-4970
Tx- Aspergillus A96-97
Tx- Aspergillus A96-97
Tx- Aspergillus A96-97
Tx- Aspergillus A96-97
Tx- Aspergillus A96-97
Fungus ball Aspergillus
Aspergillus
H+E Aspergillus
Cryptococcus
Cryptococcus lung
Blastomycosis lung-budding
Blastomycosis lung-budding
Blasto suggested
Histo