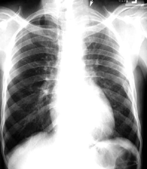
Apical Mass with rib destruction

 

O'Connell, et. al., in their study of 29 patients with pancoast tumor noted an apical mass to be apparent in 45% of the chest radiographs.